운동 효과를 극대화하고 건강을 챙기고 싶으신가요? 많은 사람들이 찾는 헬스 보충제 아르기닌의 효능, 아르기닌 복용법, 그리고 부작용까지 한 번에 알아보세요. 지금부터 자세히 살펴보겠습니다.

아르기닌이란?
아르기닌은 생물체의 체내에 존재하는 조건부 필수 아미노산으로 간에서 요소의 합성과정을 통해 암모니아를 제거할 때 아르기닌이 요소회로에서 요소를 분해시키는 역할을 합니다. 또한 아르기닌은 상피세포, 뇌신경세포, 중성구, 산화질소 등을 생성하는데 꼭 필요한 성분으로 붉은 육류, 가금류, 갑각류 및 건과류에 다량 함유되어 있습니다.
아르기닌 하루 권장량
보통 아르기닌 하루 권장량은 2g ~ 4g이지만 처음에는 적은 양으로 복용하고 적응이 되면 양을 늘려서 권장량을 채우는 것이 좋습니다. 아르기닌은 혈행을 개선시켜 주는 효과가 있어서 운동하기 1시간 전쯤 섭취하는 것을 권합니다. 또 보충제로 복용할 경우에는 흡수율이 낮은 관계로 공복에 섭취해 주는 것이 훨씬 좋습니다. 발기부전 환자의 경우에는 3~6g 정도로 아르기닌 양을 늘리셔도 되고 운동을 많이 하는 분들에 한해서 9g 정도까지는 먹어도 괜찮다고는 하지만 아르기닌 하루 권장량을 지키는 것이 가장 바람직합니다.
아르기닌의 효능
아르기닌의 효능 - 피부 개선 효과: 아르기닌은 체내에서 콜라겐 생성을 도와 피부 보습 및 주름 개선에 효과적입니다. 또한 수술이나 외상으로 인한 상처의 빠른 회복을 돕고 피부 조직의 재생에도 기여합니다. 특히 가정에서 욕창 관리가 필요한 환자에게 유용합니다.
아르기닌의 효능 - 운동 효과 증대: 이미 운동을 하는 많은 사람들에게 운동효과를 증대시켜주는 부스터 보조제로 알려져 있습니다. 심하게 운동하고 나서 체내에 쌓이게 되는 젖산을 효과적으로 배출해 줄 뿐만 아니라 총산소 소비량을 감소시켜 운동 효과를 높일 수 있습니다. 또한 체내 골격근의 지방산 산화를 자극해 근육 형성과 체지방 감소에 도움을 줍니다.
아르기닌의 효능 - 혈관 생성 및 확장: 아르기닌은 혈관의 생성과 재생을 도우며, 여성의 임신과 출산에 도움을 줍니다. 부종을 제거하고 말초신경까지 충분한 산소를 전달해 간헐성 파행증을 예방합니다. 뇌기능 개선, 인지 기능 증강, 면역 기능 향상에도 도움을 줍니다. 성장하는 청소년의 체력이나 신장에도 긍정적인 영향을 미칩니다.
아르기닌의 효능 - 체지방 감소: 아르기닌은 미토콘드리아의 효율을 높여 기초 대사량과 성장호르몬을 증가시킵니다. 이를 통해 지방 대사를 촉진하고 체중 저하에 도움을 줍니다. 운동을 통해 근육량을 늘리는 방법 외에도 아르기닌을 섭취하여 기초 대사량을 늘리는 것이 가능합니다.















아르기닌의 효능 부작용
몸에 좋은 성분이라도 주의가 필요한 사람들이 있으며, 부작용이 있을 수 있습니다. 아르기닌의 부작용에 대해 알아보겠습니다. 아르기닌은 공복에 복용하는 것이 효과적이나, 위장 장애가 있는 경우 설사, 구토, 울렁거림 증상을 유발할 수 있습니다.
심근경색을 앓고 있는 노령의 환자일 경우 이미 동맥이 탄력을 잃고 경직되어 있는 상태이기 때문에 혈관 확장에 도움을 주는 아르기닌의 복용이 오히려 해가 될 수 있습니다. 간경화가 상당히 진행된 환자의 경우 아미노산의 균형이 깨짐으로 인해 구내염이나 입병을 유발할 수 있습니다.
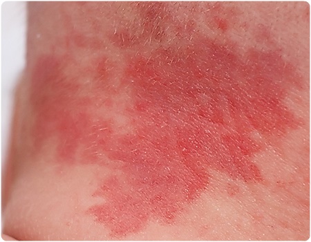
아르기닌의 부작용으로 탈모가 발생할 수 있다고 알려져 있지만, 이는 탈모를 일으키는 DHT 호르몬을 가진 사람들에게만 해당됩니다. 유전적으로 탈모 호르몬이 있는 사람들은 복용 시 탈모 발생이 빨라질 수 있습니다.
또한 아르기닌 보충제를 섭취하려는 분들은 복용 전에 알러지 테스트를 해보는 것이 좋습니다. 알러지 반응이 나타날 경우 두통, 갑작스런 오한, 구토 등을 느낄 수 있으니 주의해야 합니다.
아르기닌을 선택할 때는 국제 품질 기준에 맞는 원료인지, 안전한 방식으로 제조된 원료인지 확인해야 합니다. 체내 흡수가 잘 되지 않기 때문에 흡수를 돕는 보조 성분과 함께 복용하는 것이 도움이 됩니다.









아르기닌 복용법
고단백 식품인 돼지고기, 닭가슴살, 장어, 호박씨 등 식품에는 아르기닌이 다량 함유되어 있어 아르기닌 복용법의 한 가지 방법으로 자연식품을 통해 섭취할 수 있습니다. 그러나 식품으로 충분히 섭취하기 어려운 경우에는 건강기능식품을 활용한 아르기닌 복용법이 필요합니다.
아르기닌 보충제를 선택할 때는 함량을 확인하고, 약사와 상담 후 구매하는 것이 중요합니다. 아르기닌 복용법을 정확히 따르기 위해 개인에게 필요한 양을 적절히 확인 후 조절하는 것이 좋습니다.
또한, 아르기닌 복용법에 따라 흡수율을 높이기 위해 공복에 섭취하는 것이 좋으며, 운동 1시간 전에 섭취하면 효과가 극대화됩니다. 개인차에 따라 두통, 설사 등의 이상 반응이 나타날 수 있으므로 이러한 증상이 나타날 경우 아르기닌 복용법을 재조정하거나 복용을 중단해야 합니다.
아르기닌 복용법의 효과를 극대화하기 위해서는 적절한 용량을 유지하고, 꾸준히 섭취하는 것이 중요합니다. 아르기닌 복용법을 정확히 지키면 운동 효과 증대와 건강 관리를 동시에 할 수 있습니다.
아르기닌의 효능 부작용 및 아르기닌 복용법 그리고 아르기닌 하루 섭취량과 몸에 좋은 아르기닌 섭취 시간에 대해 정리해 보았습니다.
하지 정맥류 증상 및 증상별 하지 정맥류 치료방법 (ft. 하지 정맥류 병원 진료과)
하지 정맥류 증상 영상으로 알아보기 하지 정맥류는 다리와 발에 발생하는 혈관 질환으로, 확장된 정맥이 파란색 또는 보라색으로 나타나고, 다리에 부종이나 통증이 발생하는 증상을 유발합
jt.fourthtrying.com
압력밥솥 삼계탕 맛있게 끓이는법 및 맛집 삼계탕 황금레시피 (ft. 인삼효능)
벌써부터 무더위가 시작되었습니다. 그래서 그런지 이미 삼복이 시작된 것만 같습니다. 압력밥솥 삼계탕 맛있게 끓이는 법 그리고 맛집에서 사용하고 있는 삼계탕 황금레시피 공유해보도록 하
jt.fourthtrying.com
"이 포스팅은 쿠팡 파트너스 활동의 일환으로, 이에 따른 일정액의 수수료를 제공받습니다."